안녕하세요 엄빠님! 베이비빌리입니다. 각도법이 궁금하신 엄빠님께만 알려드려요🙋🏻♀️🙋🏻♂️ 각도법에 관심 있는 엄빠들이 모여있는 게시글에서 의견을 나누어보면 어떨까요?👼🏻 지금 바로 각도법으로 울 아기 성별을 추측해보세요😍 👉🏻 지금 바로 성별 질문 남기기 https://app.babybilly.app/382zwc
2025년 12월 베동
/ 자유주제
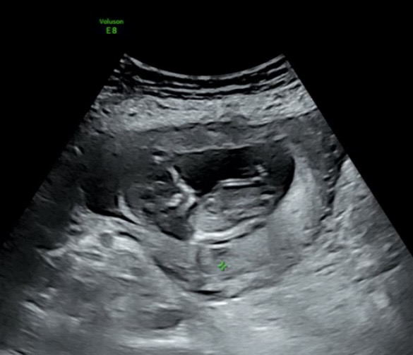
각도법 고수님들 ㅠㅠ

각도법 고수님들 성별이 어떨지 보일까요? 아직 병원에선 알려주시지 않으셔서 너무 궁금해서 여쭤봐요ㅠㅠㅠㅠ 예전초음파 사진 첨부해요 ! 지금은 14주 입니다ㅠㅠ
댓글
1
아기 척추뼈랑 돌기가 잘 안 보이긴 해요. 유추하면 딸 각도 같습니다.
2025년 12월 베동 베동 전체글
함께 많이 본 베동글

베이비빌리 앱 다운로드받고 다른 엄빠들이 작성한 다양한 고민&꿀팁글을 구경해보세요


