딸 각도 같아요!
2025년 12월 베동
/ 자유주제
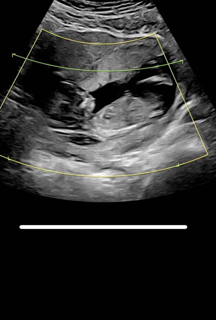
12주차 각도법좀 봐주세요 ㅠㅠ

부탁드립니다 ㅠㅠ
댓글
2

너무 감사드려요 ㅠㅠ 돌기가 안보여서 확인이 안됫었는데 답글 감사드려요
안녕하세요 엄빠님! 베이비빌리입니다. 각도법이 궁금하신 엄빠님께만 알려드려요🙋🏻♀️🙋🏻♂️ 각도법에 관심 있는 엄빠들이 모여있는 게시글에서 의견을 나누어보면 어떨까요?👼🏻 지금 바로 각도법으로 울 아기 성별을 추측해보세요😍 👉🏻 지금 바로 성별 질문 남기기 https://app.babybilly.app/382zwc
2025년 12월 베동 베동 전체글
함께 많이 본 베동글

베이비빌리 앱 다운로드받고 다른 엄빠들이 작성한 다양한 고민&꿀팁글을 구경해보세요


