저두 난황보여요!!! 좋은 생각민 하시구 며칠 뒤 편한 마음으로 병원 가보셔용ㅎㅎ좋은 결과 있을 거 같아요!!
자유 베동
/ 자유주제
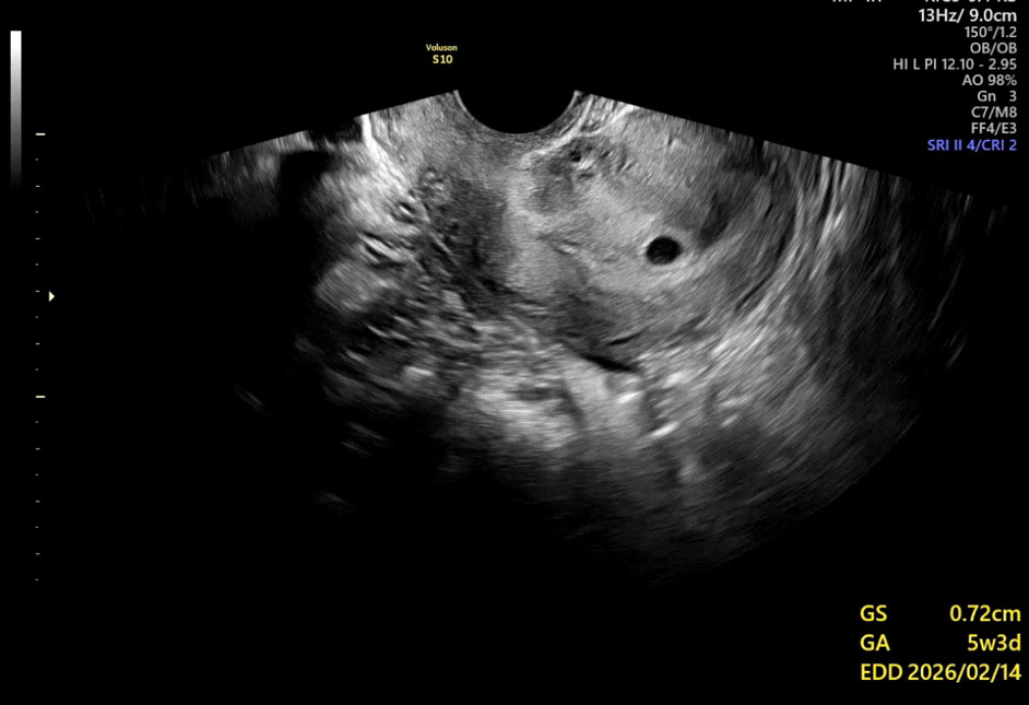
5주5일차 난황 안보여요...

배유제 복용 후 자임 기존 다니던 병원에서 안보인다 하셔서 당일 다른병원도 다녀왔어요!! 기존병원- 난황을 볼 수 있을줄 알았는데 안보이네요 아기집이 작아서 그런지 라고하셨고 아기집 0.7cm 유산방지약 일주일 추가로 받아옴.... 4주5일 아기집 0.3 일주일에 많이 안자람 타병원 - 지금 주수에 아기집이 너무 작다 자기 산모였음 수술 하라고 한다. 아기집이 1.4는 나왔어야했는데 안컸고, 좋지 않다 안보인다 마음 잡아라 다음주에 수술해라 이런경우 다음주에 볼 수 있을까요..? 동영상 돌려다보니 ㅠ 제 눈에 난황같아서 ㅠㅠ 올려보아용
댓글
19
기다려보세요~ 아기 집 안 보인다고 피검사로는 임신인데 자궁외임신 이야기부터 유산이다까지 다 들었는데 다음 달에 출산입니다
너무 단호하게 말하는 병원들은 조심해야 하는것같아요 병원어딜가냐에 따라서 진료결과도 너무다르게 봐주시고 뭐든 확실한건 없는데 말이예요ㅠ 난황보이니 너무 걱정하지마시고 좋은생각하시면서 편하게 계심될것같아요! 아기집이라는게 초음파넣는 위치에따라서 보이기도하고 안보이기도 하더라구요!
난황이 맞겠죠...? 3분짜리 초음파 뒤져서 찾아낸 거예요 ㅠㅠ 지푸라기라도 잡는 심정으로용 ㅠㅠㅎㅎㅎ 담주에 기대해볼게요오 ㅠㅠ🫶🏻
사진 클릭해보면 난황 잘 보여요! 자임은 더 기다려보셔도 늦지 않아요 ㅠㅠ 초기에 좀 느리다고 무조건 비정상임신으로 단정짓는 건 좀 위험한 거 같아요
자유 베동 베동 전체글
함께 많이 본 베동글

베이비빌리 앱 다운로드받고 다른 엄빠들이 작성한 다양한 고민&꿀팁글을 구경해보세요


