정말 축하드립니다. 앞으로도 좋은날만 있으시길! 아기도 건강히 순산하세요!
2026년 2월 베동
/ 자유주제
첫 심장소리

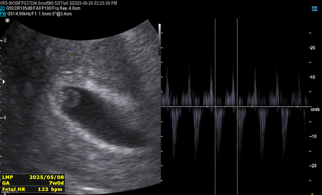
5월8일 막생 / 7주 0일차 초음파 보고 왔어요. 작년 계류유산 경험도 있고, 지난주에 피비침이 있어서 호르몬주사에 질정제 처방 받고 누워있은 지 일주일 째... 이번주 검사 가는 게 내심 두려웠는데, 처음으로 태아 심장소리도 듣고, 초기 검사도 하고 왔어요! 콩닥콩닥 잘 뛰더라고요. 123bpm으로 정상범위라는 소리가 얼마나 행복하던지..ㅠㅠ 말로만 듣던 다이아반지도 보고 왔어요. 아이가 작아서 다음주에 정확한 예정일을 알 수 있을 것 같다고 하셨어요. 일단 오늘은 기뻐해도 되겠죠? 저랑 비슷하게 아기집에 비해 태아가 작은 분들도 계실까요? 언제쯤이면 마음 놓고 푹 잘 수 있을지.. 모쪼록 다들 화이팅입니다!
댓글
2

정말 감사합니다!!🥹
넘축하해요

감사합니다 ☺️☺️
2026년 2월 베동 베동 전체글
함께 많이 본 베동글

베이비빌리 앱 다운로드받고 다른 엄빠들이 작성한 다양한 고민&꿀팁글을 구경해보세요


