하루하루큰데요~ 저는 3일만에 아기가너무커서~ ♡^.
2026년 2월 베동
/ 자유주제
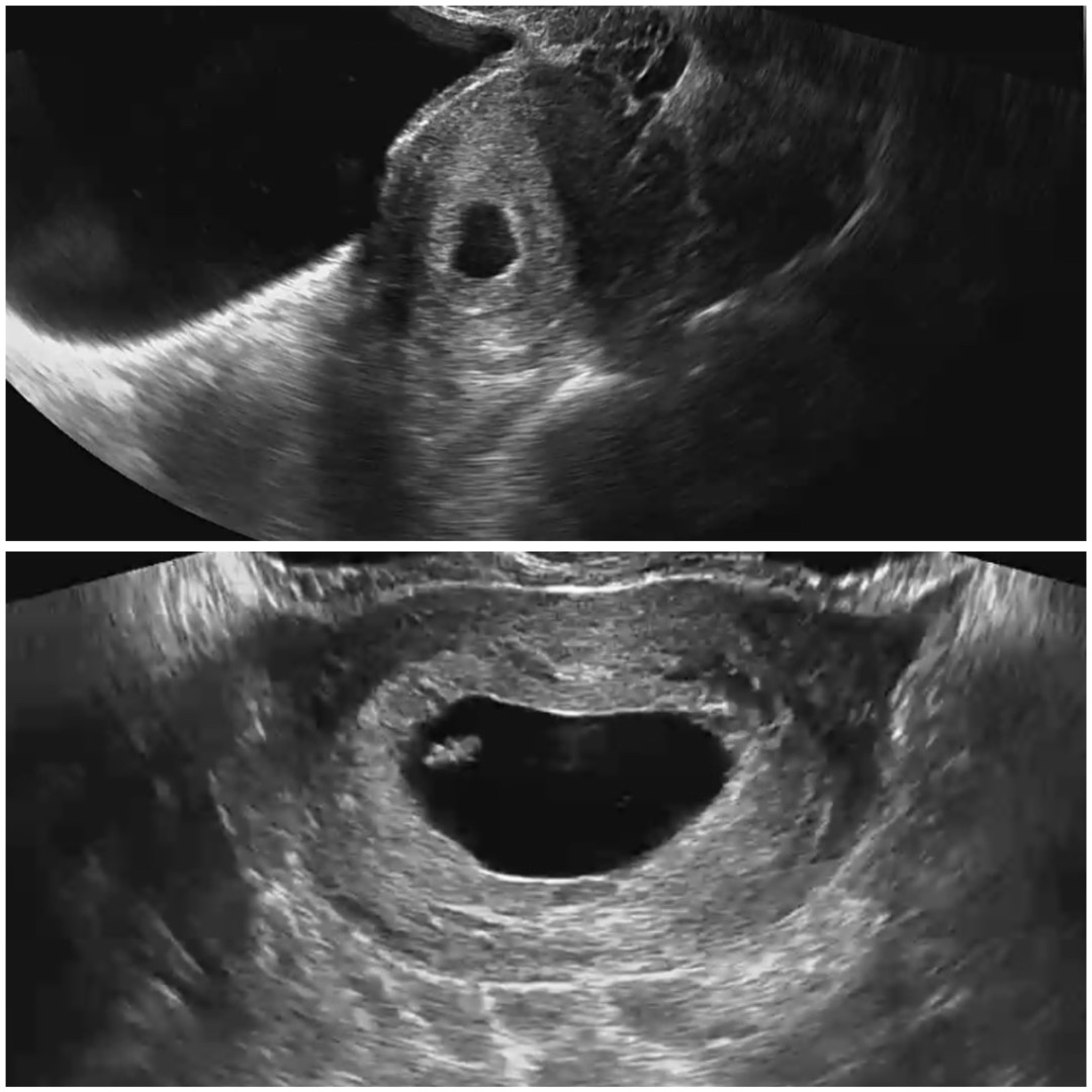
아기집크기가 이렇게 변하나요...?

위에 사진이 5주 6일째 아기집 크기이구 아래 사진이 오늘 가서 찍어본 7주 0일째 아기집이랑 아기 사진인데 불과 약 10일지났는데 아기집이 12.3mm 크기였었는데 오늘 가보니까 아기가 8mm크기가 되어있고 집은 무슨 엄청 크게 지어졌네요ㅋㅋㅋㅋㅋ 의사쌤도 집이 크게 잘 지어졌다면서 웃으시더라고요ㅋㅋㅋㅋㅋㅋ 10일만에 이런 변화가 있다는게 엄청 신기해요 다들 이러셨나요~?ㅎㅎ
댓글
4
단것들 최근에 많이 드셨나용? 아기양수는 물많이 마시고 하면 많아진다구 하더라구요ㅎㅎ 저도 일주일사이 1센치가 커져있더라구요ㅋㅋ
저도 지금 9주찬데 이런식으로 엄청 커졌어요 ㅋㅋㅋ

진짜 너무 신기하고 아직도 안믿겨요!!!ㅋㅋㅋㅋ 9주차면 젤리곰 보셨겠네요~?!!!
2026년 2월 베동 베동 전체글
함께 많이 본 베동글

베이비빌리 앱 다운로드받고 다른 엄빠들이 작성한 다양한 고민&꿀팁글을 구경해보세요


