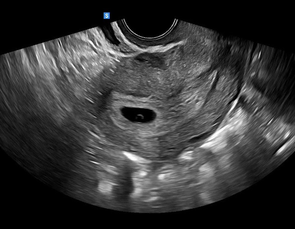
완전 난황같아요!ㅎㅎㅎ
2026년 3월 베동
/ 자유주제
이게 난황이 맞을까요??

배란+25일인 이번주 월요일 병원에서 초음파 보고왔는데 선생님이 난황낭? 이라고 표현하시던데 이게 다들 말씀하시는 그 난황이 맞나요?? 2주뒤 애기 심장소리 들려야한다구 그때 보자고 하시던데 잘 크고 있는거겠죠~?
댓글
2
난황 같아요!!
2026년 3월 베동 베동 전체글
함께 많이 본 베동글

베이비빌리 앱 다운로드받고 다른 엄빠들이 작성한 다양한 고민&꿀팁글을 구경해보세요


