안녕하세요 엄빠님! 베이비빌리입니다. 각도법이 궁금하신 엄빠님께만 알려드려요🙋🏻♀️🙋🏻♂️ 각도법에 관심 있는 엄빠들이 모여있는 게시글에서 의견을 나누어보면 어떨까요?👼🏻 지금 바로 각도법으로 울 아기 성별을 추측해보세요😍 👉🏻 지금 바로 성별 질문 남기기 https://app.babybilly.app/8l9s1u
2026년 2월 베동
/ 자유주제
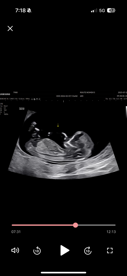
12주 각도법! 성별 궁금해용

아들일까요 딸일까여?! 뭐든 상관없지만 궁금해요 ㅠㅜ
댓글
2
흐러서 잘 안보이는데 제가 보는 부분이 생식기가맞다면 각도로는 아들같아요!

이것두 있어여!

완전 아들이용 ♡

꺄학ㅋㅋㅋㅋㅋㅋㅋ감사합니다><ㅋㅋㅋㅋ
딸에 한표남길게용

꺅 진짜 너무 궁금하네여><ㅠㅠ
2026년 2월 베동 베동 전체글
함께 많이 본 베동글

베이비빌리 앱 다운로드받고 다른 엄빠들이 작성한 다양한 고민&꿀팁글을 구경해보세요


