저6주6일차 검은피비쳐서내일아침바로병원가려구요. 임신해도 마음이 걱정만가득하더라구요 너무공감가서 이렇게글남깁니다.
2026년 3월 베동
/ 자유주제
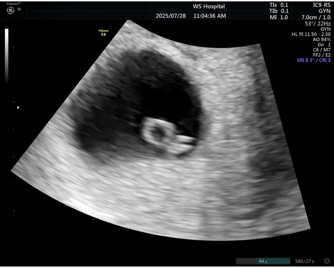
6주6일..심장이 멈췄어요

힘차게 뛰어줄거라 믿었는데.. 삼빵이도 많이 힘들었겠지.. 6주6일차..심장 반짝임도 없고.. 소리도 들리지않아요 유산이래요.. 내일 오전에 초음파 한번더 확인하고 소파술 하기로했어요.. 벌써 3번째 유산.. 너무 힘드네요..신랑도 일하다가 전화와서 엉엉 울고.. 너무속상하고 힘들어요. 언제쯤 건강하게 출산할수있을까요.. 나이도 마흔이라 걱정이 너무 많네요.. 바라는게 있다면 수술없이 자연유산으로 끝났으면 좋겠네요.. 그동안 행복했어 삼빵아..잘가 나중에는 꼭 건강하게 와줘야해
댓글
8
저도 오늘 7주 2일차인데 계류유산 판정 받았어요... 애기가 더 크지 못한다고 하네요ㅜㅜ 너무 슬프지만 유산후 더욱 건강한 아기가 올거라고 믿고 잘 보내주려고 합니다ㅜㅜ 저희 힘내요!!!
힘내세요... 다음에는 꼭 건강하고 예쁜 아가가 찾아올거예요! 저도 반복착상실패 거듭하다가 pgt통배 심고 성공해서 이제 9주차입니다! 우리 모두 노력하다보면 꼭 좋은 소식 있을거예요!
오전에 소파술로 보내주고 왔네요...습유검사 하고 싶다니까 선생님이 다음에 하자고 하시네요...이제 몸도 마음도 다시 추스리고..다시 준비해보려구요..
저는 프로틴 S 수치 15라서..정상이 55부터인지라..저는 만출때까지 안맞으면 임신 유지 어려운 수치라고 히셧어요ㅠㅜ크렉산 40mg+아스피린1알 복용했는데 초기에 착상혈시기쯤 피비침 있었고, 프로게스테론 질정 늘리니 안정화되어서 지금은 아예 안나요. 혹시 크녹산 용량이랑 아스피린 하루 몇알 드셧나요?..크녹산 20mg도 잇던데..최소용량으로 쭉 써보시는게 어떠세요? 제 지인도 계속 실패하다가..크녹산 만출때까지 유지하고 드디어 정상 출산 성공했어요..
2026년 3월 베동 베동 전체글
함께 많이 본 베동글

베이비빌리 앱 다운로드받고 다른 엄빠들이 작성한 다양한 고민&꿀팁글을 구경해보세요


