우와~너무 귀여운 젤리곰이네요😍 저도 오늘 딱 8주차되었는데 이런 사랑스런 젤리곰 보고싶네요❤️
2026년 3월 베동
/ 자유주제
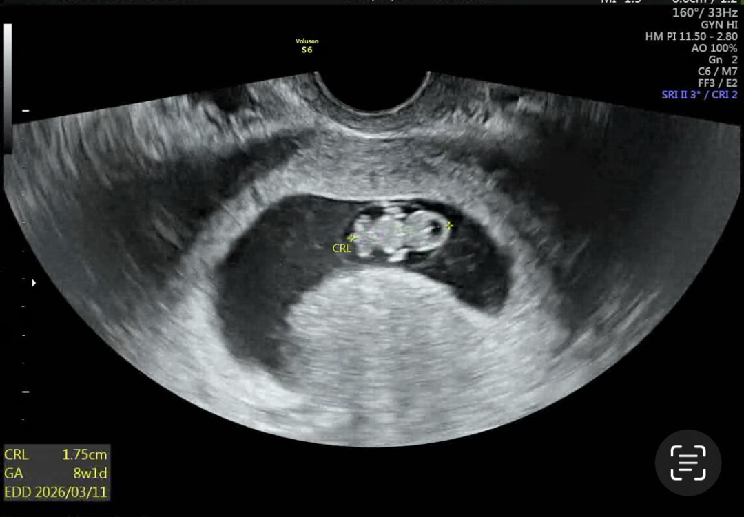
8주차 젤리곰 보구왓어용✨

엄청 쪼꾸만데 잇을거 다생긴 젤리곰 ㅠ 감동 100프로 너무 기엽쟈냐욤 ㅠㅠㅠ💛💛 4주뒤에 1차 기형아 검사 하러 오라시던데 니프티얘기는 없으셔서 혹시 1차 하면서 니프티 하신분 계신가욤 .. 아니면 1차 결과 보고 니프티 하는게 조을까욤 조언부탁드립니다👼🏻
댓글
12

이제 짠하고 보실거같은데용 ❤️ 우리 예쁜 아기 만나용 !!!!
너무 귀엽네요~! 저는 7주차인데 내일병원서 젤리곰 볼수있었으면 좋겠네요 ㅎㅎ

일찍 볼수 잇엇음 좋겟어요 💛💛!!! 젤리곰 보고 힐링하구 오세욤 🔥
전 노산이라 제맘편하고자 그냥 니프티할려고요!!!

저두 제맘을 위해서 니프티 할랴고 함니다 우리 하고싶은대루 해용 💛💛
8주 2일에 젤리곰 보고 3주 뒤(11주 2일) 검진 갈 때 1차 기형아검사와 니프티 하기로 했어요:) 저는 원래 니프티 할 생각이 있었어서 요즘은 성별도 나오니 교수님이 빨리 하자고 하시더라구요 ㅎㅎ

아 저두 미리 말해보는게 좋을까용 저두 원래 니프티 생각이 있어서 말씀이 없으셔서 원래 이런건가 햇어용 ㅠㅠ 감사해욧 우리 같이 건강한 아기 만나요 💖💖

저두요ㅠ 초반에 애기집이두개엿다가 하나 소멸됫는데 소멸되어도 애기의 DNA가 남아잇어서 ㅅ검사하길추천하시더라구요

탈퇴한 유저
8주차에도 빠르면 젤리곰을 볼수잇군요!! 저도 담주에 보러가는데 딱 8주차라.. 저렇게 귀여운 젤리곰 보고올수 잇엇으면 좋겟어요~ 🥹

저두 기대 안했었는데 쨘하구 잇더라구용 볼수 있으실거에여 !!! 갔다 오시면 귀여운 젤리곰 같이 보여주세용 ❤️❤️
2026년 3월 베동 베동 전체글
함께 많이 본 베동글

베이비빌리 앱 다운로드받고 다른 엄빠들이 작성한 다양한 고민&꿀팁글을 구경해보세요


