아직 성별은 모르나요?
2026년 2월 베동
/ 자유주제
롱다리 아가ㅎ

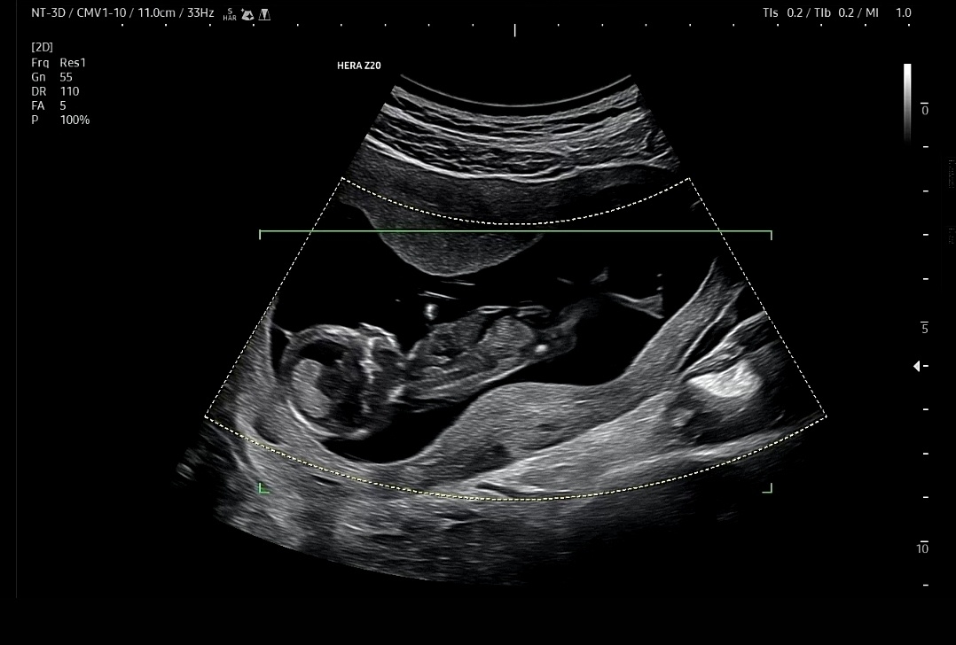
12주3일차에 1차 기형아 검사하고왓어요ㅎ 잘움직이고 다리펴는게 어찌나 귀엽고 기특하던지요ㅎ 우리아가 롱다리다 하면서 신랑이랑 흐뭇
댓글
3

네 니프티 결과기다려요
귀엽네요 ㅎㅎ
함께 많이 본 베동글
🔥 실시간 2026년 2월 베동 인기글

베이비빌리 앱 다운로드받고 다른 엄빠들이 작성한 다양한 고민&꿀팁글을 구경해보세요

베이비빌리 앱에서
더 많은 베동글을 볼 수 있어요!

베이비빌리 앱에서 더 많은 베동글을 볼 수 있어요!
2026년 2월 베동
/ 자유주제
롱다리 아가ㅎ

12주3일차에 1차 기형아 검사하고왓어요ㅎ 잘움직이고 다리펴는게 어찌나 귀엽고 기특하던지요ㅎ 우리아가 롱다리다 하면서 신랑이랑 흐뭇
댓글
3
아직 성별은 모르나요?
네 니프티 결과기다려요
귀엽네요 ㅎㅎ
함께 많이 본 베동글
🔥 실시간 2026년 2월 베동 인기글

베이비빌리 앱 다운로드받고 다른 엄빠들이 작성한 다양한 고민&꿀팁글을 구경해보세요
주식회사 빌리지베이비
대표이사 이정윤
통신판매업신고번호
|
사업자등록번호 581-88-01277
|
서울특별시 영등포구 의사당대로 83, 오투타워 4층
|
|
Language
Copyright Baby Billy. All rights reserved.
주식회사 빌리지베이비
대표이사 이정윤
통신판매업신고번호
사업자등록번호 581-88-01277
서울특별시 영등포구 의사당대로 83, 오투타워 4층
|
|
Language
Copyright Baby Billy. All rights reserved.