ㅎㅎㅎ딸이 맞는거같아여!! 저도 딸인데, 초음파사진이 비슷해용^^
2026년 1월 베동
/ 자유주제
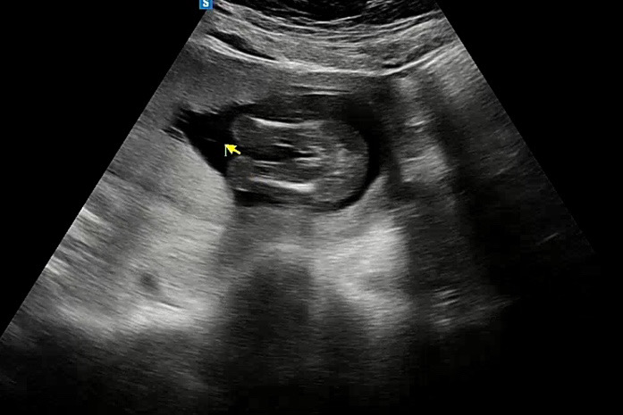
어느새 15주 3일 성별 확인을 했어요

딸이라고 하시는데 어때 보이시나요 ㅎㅎ 이정도면 성별 반전도 없는지 궁금해요 ㅎㅎ 남편이 넘 좋아해서 ^^
댓글
2

감사해요 🥹 남편이 넘넘 좋아하겠어요 ㅎㅎ
함께 많이 본 베동글
🔥 실시간 2026년 1월 베동 인기글

베이비빌리 앱 다운로드받고 다른 엄빠들이 작성한 다양한 고민&꿀팁글을 구경해보세요

베이비빌리 앱에서
더 많은 베동글을 볼 수 있어요!

베이비빌리 앱에서 더 많은 베동글을 볼 수 있어요!
2026년 1월 베동
/ 자유주제
어느새 15주 3일 성별 확인을 했어요

딸이라고 하시는데 어때 보이시나요 ㅎㅎ 이정도면 성별 반전도 없는지 궁금해요 ㅎㅎ 남편이 넘 좋아해서 ^^
댓글
2
ㅎㅎㅎ딸이 맞는거같아여!! 저도 딸인데, 초음파사진이 비슷해용^^
감사해요 🥹 남편이 넘넘 좋아하겠어요 ㅎㅎ
함께 많이 본 베동글
🔥 실시간 2026년 1월 베동 인기글

베이비빌리 앱 다운로드받고 다른 엄빠들이 작성한 다양한 고민&꿀팁글을 구경해보세요
주식회사 빌리지베이비
대표이사 이정윤
통신판매업신고번호
|
사업자등록번호 581-88-01277
|
서울특별시 영등포구 의사당대로 83, 오투타워 4층
|
|
Language
Copyright Baby Billy. All rights reserved.
주식회사 빌리지베이비
대표이사 이정윤
통신판매업신고번호
사업자등록번호 581-88-01277
서울특별시 영등포구 의사당대로 83, 오투타워 4층
|
|
Language
Copyright Baby Billy. All rights reserved.