으악 일란성 너무기여워요!! 저는 이란성 둥이맘 예정입니다...ㅎㅎ
2026년 3월 베동
/ 자유주제
저는 먹덧 당첨이요🫠

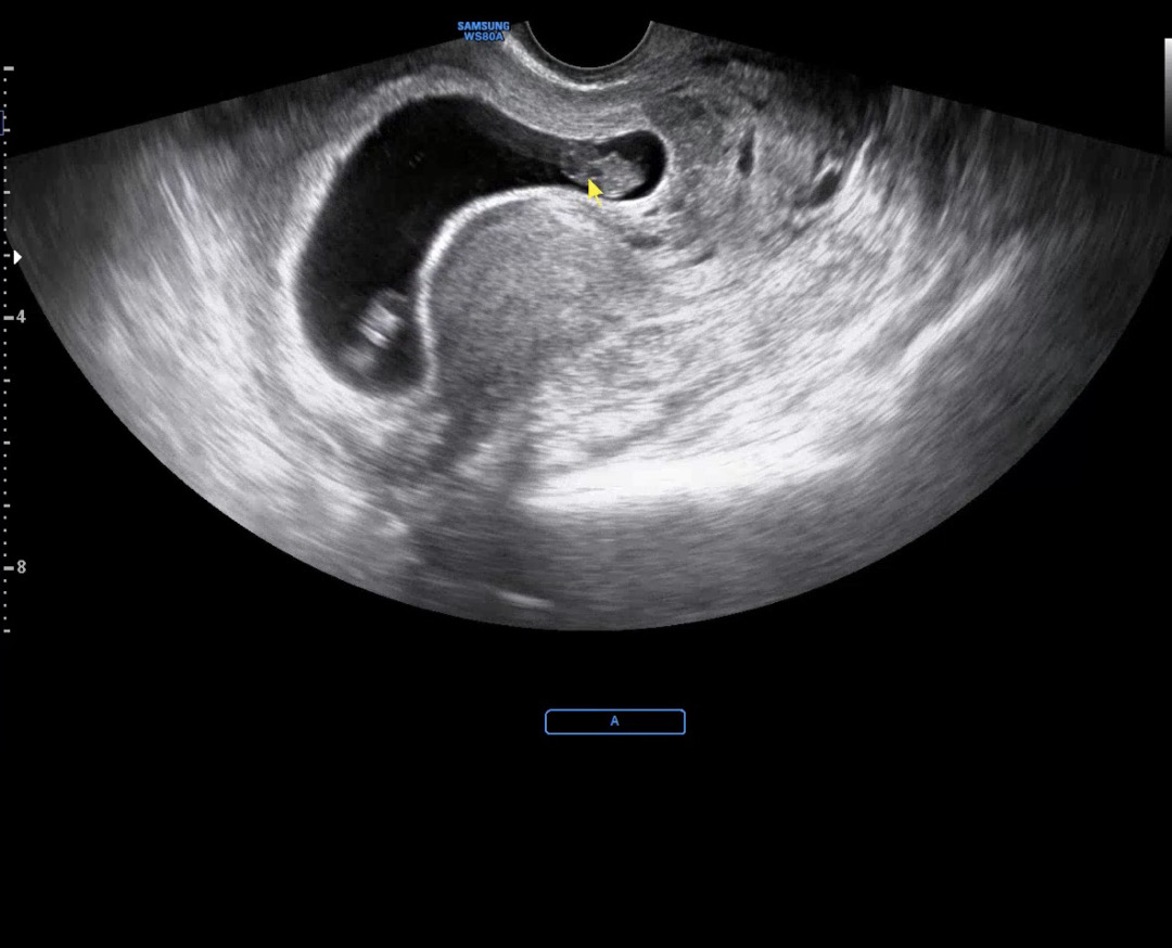
저는 첨에 아기집 볼때만 해도 쌍둥이 인줄 모르다가 ㅎㅎ다른날 병원에 갔더니 일란성 쌍둥이라네요,, ㅎㅎ 아짓 증말 쪼꼬미라 벌써 무섭네요… 배가 얼마나 나올지 ….
댓글
5

우와 ㅎㅎㅎ 너무너무 축하드려요🤍🤍🤍

탈퇴한 유저
어머나~ 양쪽끝에 하나씩 잘 자리 잡앗네요 ㅎㅎ 귀여워라 🥹 쌍둥이면 입덧두 심하실텐데 아가들 생각하시면서 힘내세요!! 화이팅입니당 ♥️

그래두 저는 입덧이 없는편이라 괜찮은편이에요 ㅎㅎ감사합니다 화이팅입니다🤍🤍
우아 쌍둥이 아기집이라 그런가 뭔가 넓어보이긴 하네요 !! 신기해용 ㅎㅎ

ㅎㅎㅎ저두 처음봐서 넘 신기했어요 ㅎㅎㅎ
2026년 3월 베동 베동 전체글
함께 많이 본 베동글

베이비빌리 앱 다운로드받고 다른 엄빠들이 작성한 다양한 고민&꿀팁글을 구경해보세요


