저도 피고임 있는데 자연스럽게 스며들거라고 걱정하지 말라고 하셨어요 ^^ 맘편히 가지셔요 ~ㅎㅎㅎ
2026년 4월 베동
/ 자유주제
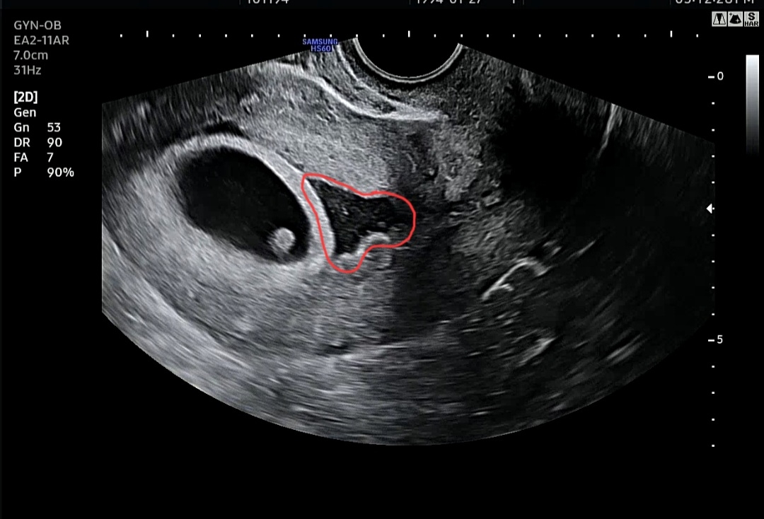
6주5일차 피고임

2주전에 아기집만 보고 왔다가 오늘 다시 병원에 내원해서 심소도 듣고 왔어요! 근데 원장님이 빨간표시 저만큼 피고임이 있다 하시더라구요ㅠ 원장님은 괜찮다고 약 처방 이런거 안해주셨는데 바로 어제 넘 심한 스트레스를 받았어가지구... 괜히 불안하네요ㅠ.ㅠ 원장님이 괜찮다하니까 괜찮은거겠지요...?ㅠ
댓글
5
선생님이 괜찮다고 하셨으면 괜찮으실 거예요 ㅎㅎㅎ그래도 무리하지 마시고 푹 쉬세요! 전 괜찮았다가 무리했더니 오늘 피고임 있어서 질정이랑 약 처방받았는데 절대안정 취하고 눕눕 하라고 하시더라고요 ㅎㅎ꼭! 잘 쉬어주세요 ㅎㅎ

넵!!! 우리 모두 잘 쉬어보아용♡
네네 저도 피고임 있었는데 다음 검진때 사라져있었어요! 너무 걱정마세용

저도 사라져있길 바래봅니당..!ㅎㅎ
2026년 4월 베동 베동 전체글
함께 많이 본 베동글

베이비빌리 앱 다운로드받고 다른 엄빠들이 작성한 다양한 고민&꿀팁글을 구경해보세요


