축하드려요~♡♡ 건강하게 출산하시길
2026년 4월 베동
/ 자유주제
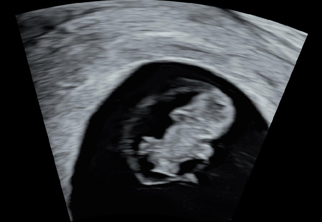
8주1일차 초진!!

사실 둘째를 가져서 넘 행복한데 두번의 유산경험이 있어서 그런지.. 초진전까지 걱정과 불안을 떨칠수가 없었어요ㅜ 오늘 드디어 아기를 만나고 왔는데 아이가 주수에 맞게 잘자라고 있고 심장도 잘뛴대서 너무 감사하네요ㅠㅠ 갑자기 두번보낸 아이들 생각이 나면서 감사의 눈물을 얼마나 흘렸는지 몰라요🥹 입덧때매 괴로워도 아이만 건강하다면 제몸 힘든건 상관없어요ㅎㅎㅎ 모두 만출까지 힘내시길 바라요💪💪🤗
댓글
9

감사합니다!!!🥹😍
입덧때문에 힘들다가도 아가만 건강하다면🥹 싶은 생각이쥬..! 저도 딱 8주인데 해외라 9주차 중반까지 첫진료 못볼예정이라 사진 대리만족하구 갑니당~ 우리 만출때까지 화이팅해요!ㅎㅎ

로하봄님도 해외에 사시는군요!! 저도 해외거주자라서 8주에 처음으로 병원갔어요ㅠ 더 늦게 잡힐뻔했지만.. 8주에 본것도 감사하더라구요ㅠ 어서 곧 아기 만나시길 그때까지 아기가 잘자라고 있길 바랄게요^^ 힘내세요!!!
입덧때문에 괴로워도 아가만 건강하다면 상관없다는 말 너어무 공감돼요.. 물론 입덧없으면 더 좋겠지만 그래두 잘지내주니 너무너무 고맙구 ㅎㅎㅎ 저는 7주차에요 우리 화이팅해요오!!

지금도 체덧때매 고생중이지만ㅠㅜ 아기만 잘자라길 바라게되네요🥹 7주이시군요!! 곧 젤리곰을 보시겠어요☺️☺️축하드려요!!

어제 그제 일하느라 하루종일 일하구 새벽늦게자서 아가가 좀 걱정되긴하는데 ㅠㅠ 무사하기를 바라요..! ㅠㅠ 괜찮겠됴?!

그럼요!!! 저 그럴때마다 긍정적으로 기도하고자요ㅎㅎㅎ 애기가 잘있을거라고 믿는것 밖에 없네요ㅜ

근데 그것만큼 또 기쁘고 감사한 건 없우니까요 ㅎㅎ 저도 우리아기가 튼튼해 하고 오늘도 고생했어 엄마도와줘서 고마워 하구자요 ㅎㅎㅎ
오머오모 8주 1일이면 벌써 저 모양인가요? 전 다음주가 8주인데 기대됩니다!!!

네!! 젤리곰모양이 귀엽더라구요ㅎㅎ 그리고 벌써 아기가 움직이네요ㅎㅎ 참 신기했어요^^
2026년 4월 베동 베동 전체글
함께 많이 본 베동글

베이비빌리 앱 다운로드받고 다른 엄빠들이 작성한 다양한 고민&꿀팁글을 구경해보세요


