2026년 3월 베동
/ 자유주제
둘째도 아들?

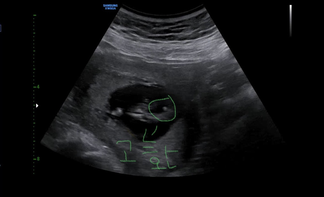
13주1일차 오늘 니프티하고 1차 기형아 검사도햇는데 선생님이 힌트를 조금 주었는데 정확하진 않은데 남자아이같다고… 생식기가 조금씩 들어갈 시기에 안들어가져잇는거 같다고ㅋㅋ 첫째도 아들인데 ㅋㅋㅋㅋㅋ 반전은 없겟지? 반전잇으신분 계실까요 ? 나는 아들 복 이 많은갑다 생각해야지 ㅋㅋㅋㅋ
댓글
0
아직 남겨진 댓글이 없어요.
2026년 3월 베동 베동 전체글
함께 많이 본 베동글

베이비빌리 앱 다운로드받고 다른 엄빠들이 작성한 다양한 고민&꿀팁글을 구경해보세요


