제가 20일에임신사실알고 아기집만보였는데 3일뒤에 한번더방문하니 난황쪼그맣게 보였어요!너무걱정마세요!
2026년 6월 베동
/ 임신고민
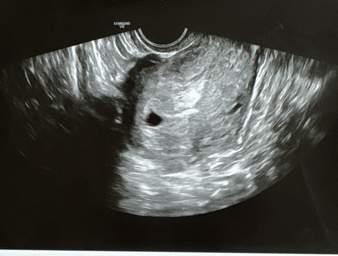
난황이 안보여요ㅠㅠ

9월 23일에 난포 터지는 주사 맞고 10월 17일에 아기집 보고 왔는데요. 오늘 10월 27일에 난황 보러 갔는데, 아기집에 아무것도 안 보인다고 하더라구요ㅠ 근데 챗지피티는 왼쪽 위에 난황이 보인다고 하고ㅠㅠ 우선 일주일 후에 다시 초음파 보기로 했는데 저랑 같은 경우였던분 계실까요?
댓글
5
보이는 것 같구, 저것도 확대할수록 난황이 더 잘 보이더라구요? 너무 염려되시면 병원에서 다시 초음파 찍으시던가 선생님께 여쭤보세요!! 선생님이 제일 정확하니까요 :) 너무 걱정마세요!!
왼쪽위에 조그만하게 난황있어요
난황보이는걸요~~왼쪽위에~
저 6주0일까지 난황안보이다가 6주6일차에 난황이랑 아기심장소리까지 확인했어요 좀더 기다려보세요!
2026년 6월 베동 베동 전체글
함께 많이 본 베동글

베이비빌리 앱 다운로드받고 다른 엄빠들이 작성한 다양한 고민&꿀팁글을 구경해보세요


