이 시기엔 딸도 아들도 약간 돌출되어있다고 해요~ 그러다가 딸은 기관이 안으로 들어가 사라지고 아들은 커진대요~
2026년 5월 베동
/ 성별질문
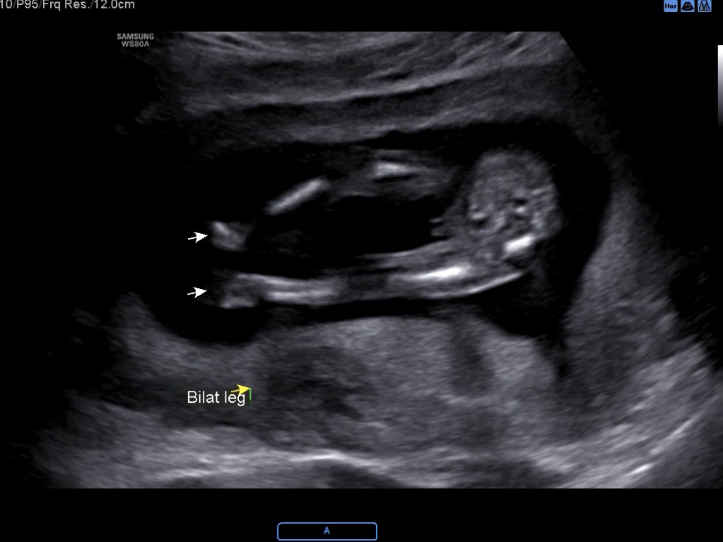
이거는 무조건 아들이겠쥬?

13주차 초음파이구 다리 부분이에요 제 눈엔 🌶️로 보이네요..ㅋㅋㅋ
BETA
우리 아기 성별이 궁금하다면?
초음파 사진을 올리면 AI가 무료로 예측해줘요
댓글
1

그렇군요..ㅎㅎ 좀더 지켜봐야겠네요 댓글 감사해요!!
2026년 5월 베동 베동 전체글
함께 많이 본 베동글

베이비빌리 앱 다운로드받고 다른 엄빠들이 작성한 다양한 고민&꿀팁글을 구경해보세요


