자유 베동
/ 임신고민
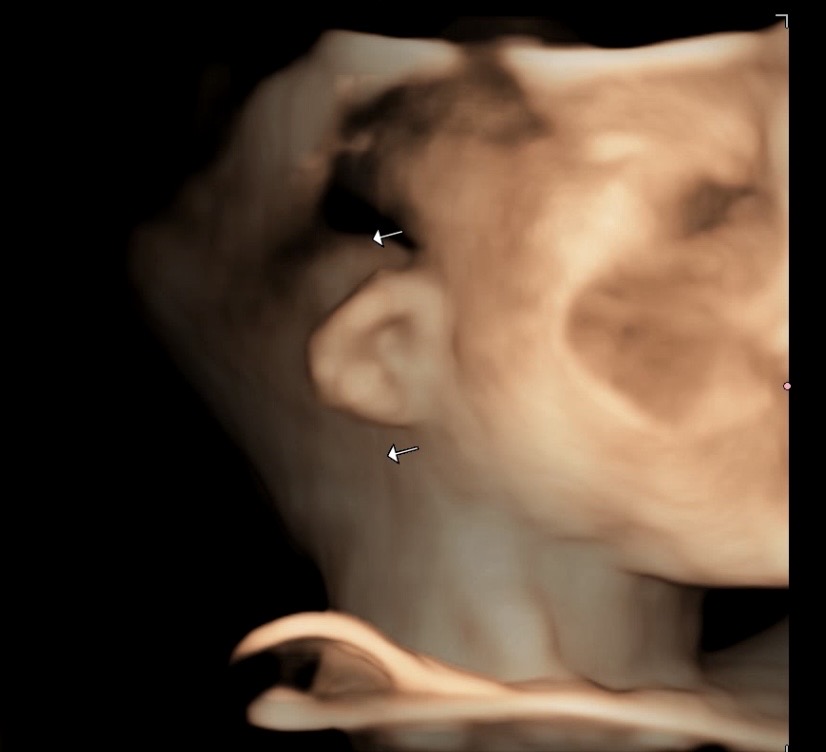
아기 초음파 귀 사이즈 크기차이

20주 정밀초음파 보고왔는데 귀 사이즈가 한쪽이 작다고하더라구요ㅠㅠ 왼쪽귀 1.27 / 오른쪽귀 0.93이요.. 일단 작은쪽 귀 귓바퀴형성은 되어있는것같은데 소이증,청력에문제등은 태어나봐야 알수있고, 성형은 나중에해주면된다고.. 이렇게까지 말씀하셔서 하늘이 무너지는 기분이였어요 병원에서는 아직20주라 더 지켜보자고하시는데 마음이 너무 안좋아요.ㅜㅜ.. 혹시나 접혀있어서 작아보이는경우도 있을까요.. 저랑 같은케이스였다가 나중에 정상으로 돌아오는 경우도있나요..? 초음파사진은 작은 왼쪽귀에요!
댓글
0
아직 남겨진 댓글이 없어요.
자유 베동 베동 전체글
함께 많이 본 베동글

베이비빌리 앱 다운로드받고 다른 엄빠들이 작성한 다양한 고민&꿀팁글을 구경해보세요


