6주 땐 아닌데 7주쯤에 벽에 붙어서 있는건가 싶었는데 10주차 진료까지 잘 봤어요ㅎㅎ
2026년 8월 베동
/ 임신고민
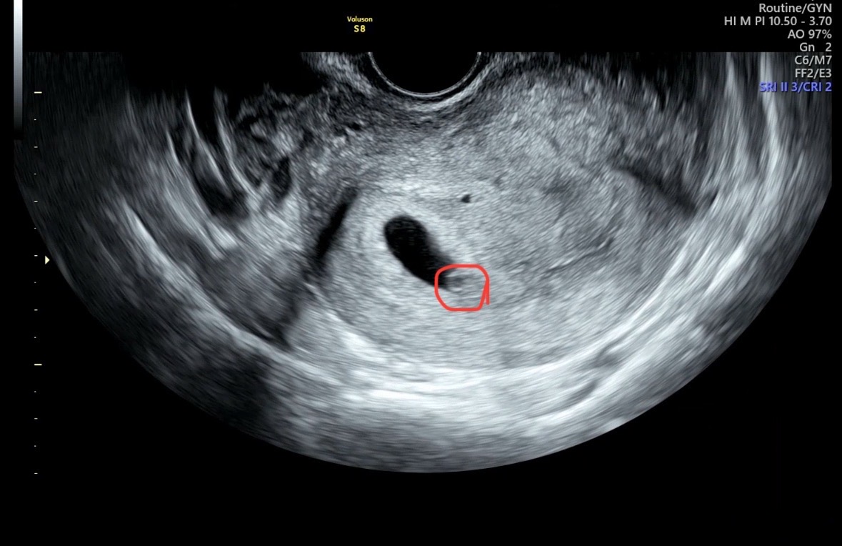
임신6주 애기가 너무 벽에 붙어있데요...

6주0일에 본 초음파인데 심장소리는 124회로 들리는데 아기가 너무 붙어있어서 잘 안보인데요...괜찮은거겠죠? 혹시 저렇게 붙어있으면 잘 안자랄수도 있나요?
댓글
2

감사합니다~ 저도 좀 더 기다려봐야겠네요^^
2026년 8월 베동 베동 전체글
함께 많이 본 베동글

베이비빌리 앱 다운로드받고 다른 엄빠들이 작성한 다양한 고민&꿀팁글을 구경해보세요


