헉 저도 담주에 분만병원 뚫을겸ㅋㅋㅋㅋ아기집 보고 10일만에 갈건데!!ㅋㅋ 혹시 아가집보셨을때 몇미리였나욜!?
2026년 8월 베동
/ 임신준비
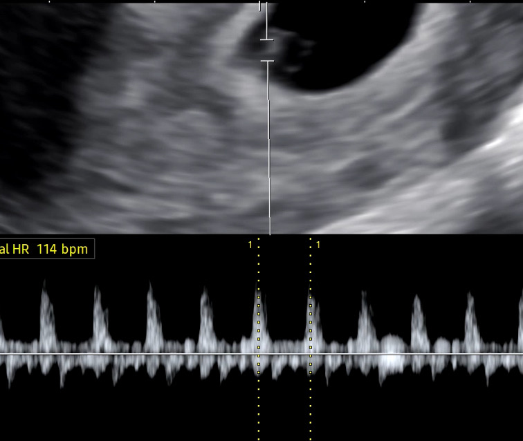
6주차(?) 심장소리

2주일 기다리는 거 못참고 분만병원 뚫을 겸 일주일 만에 갔습니다. 주수가 줄어들었어요(?) 선생님은 그럴 수 있다고 하더라구요. 어쨌든 오늘 아가 심장소리도 들었어요… 깨알 싸이즈가 심장이 뛴다니… 소리듣고 울었습니다.ㅠㅠ 잘만 자라준다면 뭐든 견디겠어요…
댓글
4

첫 아기집은 6mm 였어요 ㅎㅎ 일주일 뒤 2.33 cm 가 됐네요!

헉 저두 첫 아기집 6mm욨어용!! 5주2일 이었는데 ㅎㅎㅎ ! 저도담주에가면 심소들을수있을까요ㅠㅠ

아마두요?! 저는 심장소리 기대 안하고 잘 있나 보러 간건데 들을 수 있었어요🥹🤍
2026년 8월 베동 베동 전체글
함께 많이 본 베동글

베이비빌리 앱 다운로드받고 다른 엄빠들이 작성한 다양한 고민&꿀팁글을 구경해보세요


