저도 입덧이없어가지고 잘있나 확인하려고 굳이 임테기사서 막 하고ㅋㅋ 서브병원가서 초음파보고 그랬어요~근데 피비침이나 그런게 없으면 걱정안하셔도 될듯해요~
2026년 8월 베동
/ 임신고민
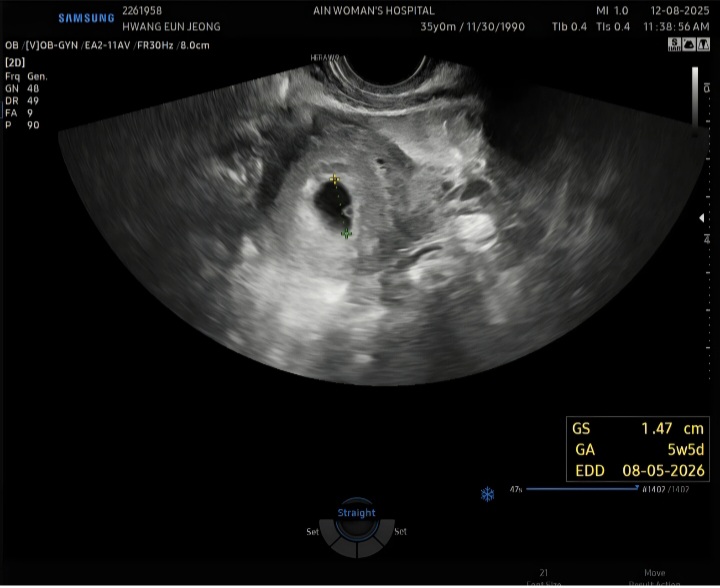
12월 8일 초음파 보고 왔어요~~

12월8일에 초음파 보고 왔어요 막생 기준 5주5일 이었고 2주후에 초음파 다시 보고 예정일 변경될수도 있다고 했거든요~ 2주가 왜이렇게 안가는지 ㅜㅜ 배동이나 맘카페 보면 입덧 심하신분들 많던데 전 입덧도 없고 가슴만 조금 아프고 피곤하기만해서 잘크고 있는건지 걱정이에요 초기에는 유산도 많다는데 ㅜㅜ 아직 심장소리 못들어서 괜히 걱정되네요 24일에 병원 예약이긴한데 그전에라도 동네병원 가보는게 나을까요? 그냥 좀 기다려볼까요...?
댓글
4

아 ㅋㅋ 하긴 저번에 의사샘이 피 안나면 괜찮으니까 걱정말라고 하긴했었어요
저도여 저도여 똑같았어요!! 입덧없고 임신 증상 거의없고 배만고픈사람이었어서 저도 진짜너무불안했는데 어제 심장소리 잘듣고왔어요 :) 별일없으실거에요!

ㅋㅋ 아 입덧이 아직 없는게 저만은 아니었군요! 배만고픈 사람ㅋㅋ 완전 공감이네요 감사해요😊
2026년 8월 베동 베동 전체글
함께 많이 본 베동글

베이비빌리 앱 다운로드받고 다른 엄빠들이 작성한 다양한 고민&꿀팁글을 구경해보세요


