안녕하세요 엄빠님! 베이비빌리입니다. 각도법이 궁금하신 엄빠님께만 알려드려요🙋🏻♀️🙋🏻♂️ 각도법에 관심 있는 엄빠들이 모여있는 게시글에서 의견을 나누어보면 어떨까요?👼🏻 또, 빌리AI로 각도법을 검사하는 미니 테스트 서비스도 오픈 되었다는 깜짝 소식이 두두등장! 지금 바로 각도법으로 울 아기 성별을 추측해보세요😍 👉🏻 지금 바로 성별 질문 남기기 https://app.babybilly.app/2mw1oe ⭐빌리AI로 각도법 검사하는 미니 테스트 서비스 오픈! https://gender-test.babybilly.co/ 한 번 무료로 검사해보시고 결과가 잘 맞는지 빌리에게도 알려주시기로, 약-똑!😍
2026년 6월 베동
/ 자유주제
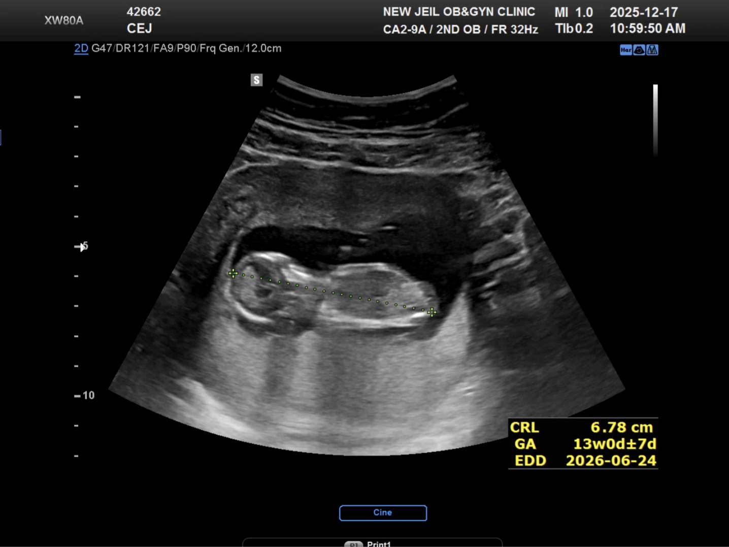
12주차 초음파

주수는 12주차인데 우리 쪼꼬미는 거의 14주 크기이네요 허허허허허 엄마아빠가 커서 아이도 벌써 큰건지..ㅋㅋㅋ 오늘 1차 기형아 검사와 니프티를 했어요 니프티 결과는 더 기다려야하지만 초음파 상의 우리 쪼꼬미는 여아네요ㅎㅎ 여안데 너무 크면 안되는데~걱정걱정😅
댓글
3
저희는 오늘 부로 12주1일차인데 니프티검사는 24일쯤나오구요 아기크기는 6.12됬드라구요ㅎㅎ 12주4일정도 구요ㅎ

쑥쑥 잘크고 있나봐요ㅋㅋㅋㅋㅋㅋ
2026년 6월 베동 베동 전체글
함께 많이 본 베동글

베이비빌리 앱 다운로드받고 다른 엄빠들이 작성한 다양한 고민&꿀팁글을 구경해보세요


