착상이 늦으면 작을 수 있어요 ㅎㅎ 아기 보일때 쯔음에 주수 다시 조정되더라구요~☺️ 저도 원랜 6주2일인데 아기크기보고 6주로 조정되었어요! 일주일까지는 조정된다하니 넘 걱정마시구 좋은생각 많이하시구 눕눕 자주하세요☺️💕
2024년 9월 베동
/ 자유주제
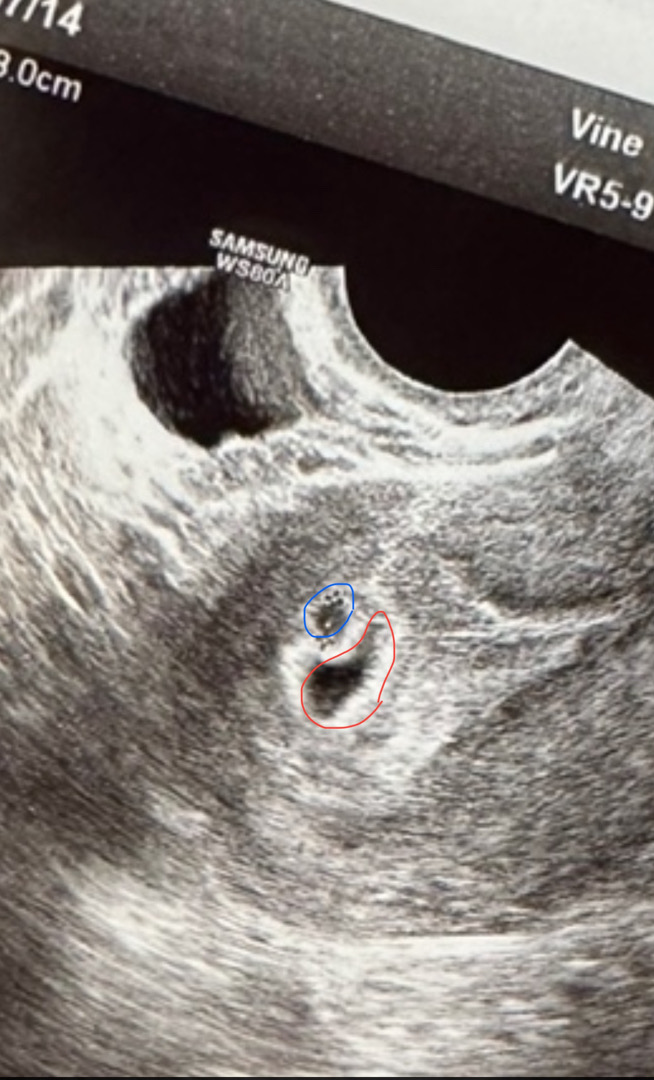
5주차인데 애기집 크기 및 피고임

파란 동그라미가 애기집이고 빨간부분이 피고임이에요.. 병원에서는 착상은 잘 됐으나 옆에 피고임이있다고 하시더라구요 너무 걱정됩니다ㅜㅜ 5주 2일차 정도 되는데 원래 이때 애기집이 저렇게 작을까요ㅜㅜ? 저처럼 초기에 피고임 현상 겪어보신 산모님들 이야기 듣고싶어요 무서워요ㅠ
댓글
14

그랬으면 좋겠어요😭 별일없이 지나가길 .. 우리 모두 좋은 생각 하면서 이 시기 잘 이겨내요 감사합니다👍🏻
저 5주차에 0.42 였어요 ㅎㅎ 걱정마세요 무럭무럭 클거에요

그랬구나😭 답글 넘 감사해요 우리 같이 무럭무럭 자라도록 기도해요 감사합니다👍🏻
저도 5주차인데 0.45cm 나왔어요! 병원에선 5주차에 딱 맞는 크기라고 하셨어요. 피고임도 병원에서 크게 말 없었으면 괜찮을거에요. 너무 스트레스 받지 마시구 몸 편하게 좋은생각만 많이 하셔도 될거같아요~!♡

답글 감사합니다..ෆ 피고임도 몸에서 흡수할수있는 크기라고는 하셨지만 걱정되는건 어쩔수없네요ㅜㅜ 좋은생각 많이 할게요 감사합니다 히히
배란날짜 정확히 아세요? 결국에는 아기 크기 보고 주수가 변하기도 한대요~ 넘 걱정 마세요!!

답글 넘 감사합니다ㅜㅜ 걱정되는건 어쩔수없네요 그래도 너무 걱정하면 아기가 다 안다고 하니 긍정적으로 생각하려구요 감사해요👍🏻
저 4주 4일인데 4mm래요ㅎㅎ

답글 감사합니다ㅜㅜ.. 저는 5주차인데 0.35mm .. 너무 작죠ㅜㅜ
2024년 9월 베동 베동 전체글
함께 많이 본 베동글

베이비빌리 앱 다운로드받고 다른 엄빠들이 작성한 다양한 고민&꿀팁글을 구경해보세요


