아이는 아직 안보이셨나요??
2024년 9월 베동
/ 자유주제
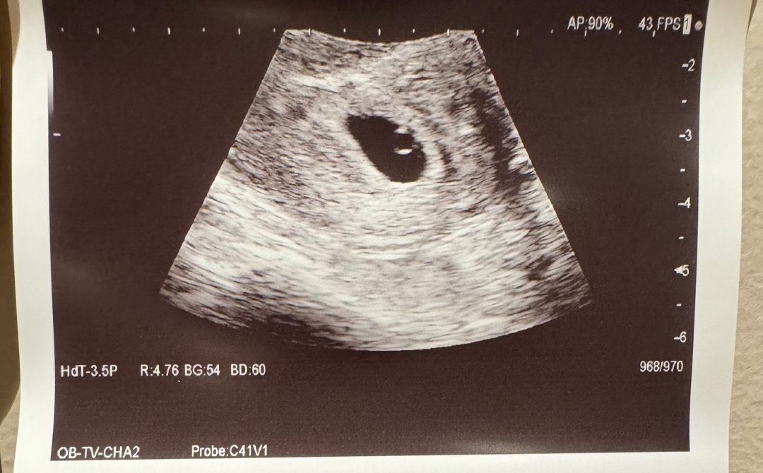
아기집 난황보고 왔어요

5주 4일 아기집 난황 까지 보고왔어요 근데 가슴통증이 하루아침에 사라져서 걱정이 되네요 배통증도 밤에만 있고 또 낮에는 없어요 증상이 있어도 걱정 없어도 걱정 되네요 좋은생각만 해야겠죠?
댓글
9


탈퇴한 유저
원래 아기집 난황 아기 순이자나요 다음주에 심소 들으러 갈때 보려구요

아 그런가요? 저희도 아기집 난황까지 봤는데 아기는 아직 안보인대서 너무 걱정했거든요ㅜㅜ
저두 불안해서 병원갔을때 여쭤봤는데 통증은 계속 있다 없다하는거라고 걱정말라셨어요!


탈퇴한 유저
네 감사해요 지금 시기에는 걱정을 달고 사는거 같아여
그럼요! 난황 보신거 축하드려요 ㅎㅎ 배통증은 생리통 비슷하신거세요?


탈퇴한 유저
네 배가 쭈욱 땡기고 콕콕 찌릿 !! 이정도요 묵직하게요

저도 그렇긴 한데 또 매일 그러진 않더라구요! 좋은 생각 하시는걸 추천합니다 ㅎㅎ


탈퇴한 유저
우리 좋은생각 이쁜마음만 가져봐요
2024년 9월 베동 베동 전체글
함께 많이 본 베동글

베이비빌리 앱 다운로드받고 다른 엄빠들이 작성한 다양한 고민&꿀팁글을 구경해보세요


