축하드려요! 저도 5주 2일차라 반가워서 댓글 남겨요! 👶🏻
2024년 9월 베동
/ 자유주제
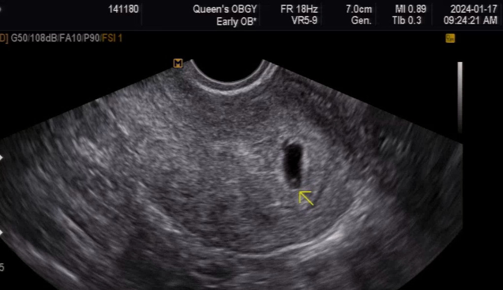
5주 2일차 애기집이랑 난황보고 왔어요💕

병원가기 전까지 얼마나 궁금하고 보고싶었는지.. 시간은 도저히 안가고 기다림의 연속이었는데 드디어 오늘 첫진료를 봤어요. 그동안 아가집 자리는 잘 잡았는지 난황은 있을지.. 아랫배통증 세게 오면 왜구러지??!😳 통증이 없는 날은 왜 없는거지!!!!!😭 유방통증 없으면 왜 없는거지!!!!!😨 말도 많고 걱정도 많았는데 오늘 드디어 병원가서 잘 자리잡고 있는 아가집을 보니까 그동안 묵은 걱정들이 싹 사라졌어요🫣 의사쌤이 보자마자 자궁이 튼튼하다고 해서 더 마음 놓였네요ㅋㅋㅋㅋㅋ 앞으로 9개월!! 잘 지내보자 아가야💜
댓글
6

반가워요😆😆❤️이제 곧 입덧 생긴다는데 떨려요🥹
와~ 축하드려용! 저도 오늘 딱 5주 2일차😆 같이 화이팅해요😊😊

우와ㅎㅎ 저랑 똑같으시네요! 예쁜 아기 위해서 같이 힘내요!! 화이팅~~✨

탈퇴한 유저
맞아요 ㅋㅋㅋ 증상 심하면 심한대로 없으면 없는대로 걱정… 휴😮💨 저도 내일 첫 초음파 보러다는데 떨리네용.. 자궁 튼튼하시다니 부러워여!!

내일 첫초음파 조금만 떠시고 잘 보고오세요😍 화이팅!!
2024년 9월 베동 베동 전체글
함께 많이 본 베동글

베이비빌리 앱 다운로드받고 다른 엄빠들이 작성한 다양한 고민&꿀팁글을 구경해보세요


