탈퇴한 유저
저정도로 튀어나온거면 아들 맞는거 같아요 ㅋㅋㅋ 제뱃속 친구도 저렇게 튀어나와있어요 ㅋㅋ

베이비빌리 앱에서
더 많은 베동글을 볼 수 있어요!

베이비빌리 앱에서 더 많은 베동글을 볼 수 있어요!
2025년 11월 베동
/ 자유주제
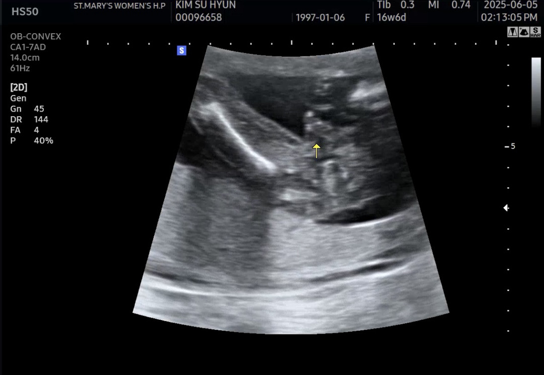
남자아이 맞겠죠??

90프로가 아들이라고 하셨는데 화살표부분 이거 생식기 맞죠??? 있던게 갑자기 없어지진 않겠죠 ㅎㅎ
댓글
4
탈퇴한 유저
저정도로 튀어나온거면 아들 맞는거 같아요 ㅋㅋㅋ 제뱃속 친구도 저렇게 튀어나와있어요 ㅋㅋ
ㅋㅋㅋㅋㅋㅋㅋ그렇겠죵
아들맞는거 같아요~~저두 아들이예용!!
오오!! 반갑습니다><
함께 많이 본 베동글
🔥 실시간 2025년 11월 베동 인기글

베이비빌리 앱 다운로드받고 다른 엄빠들이 작성한 다양한 고민&꿀팁글을 구경해보세요
주식회사 빌리지베이비
대표이사 이정윤
통신판매업신고번호
|
사업자등록번호 581-88-01277
|
서울특별시 영등포구 의사당대로 83, 오투타워 4층
|
|
Language
Copyright Baby Billy. All rights reserved.
주식회사 빌리지베이비
대표이사 이정윤
통신판매업신고번호
사업자등록번호 581-88-01277
서울특별시 영등포구 의사당대로 83, 오투타워 4층
|
|
Language
Copyright Baby Billy. All rights reserved.