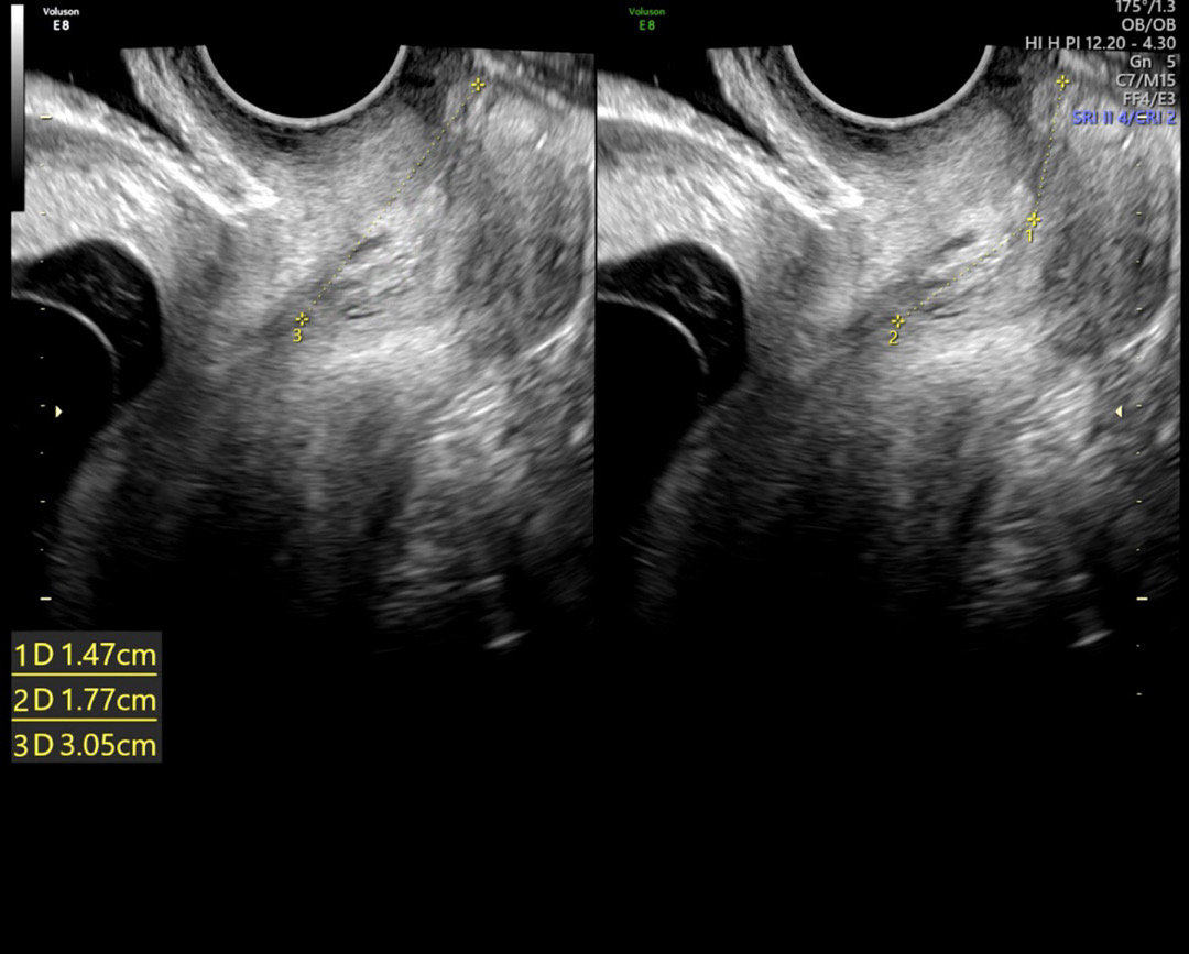
제가 첫째 32주?쯤일때 3cm였는데...아직 중기 전인데 짧아서 하신 말씀같아요. 아마 정기검진마다 계속 모니터링 하실테니 큰 걱정 마시고, 말씀주신것처럼 복부에 압력 가해질 행동 조심하셔요!
2026년 1월 베동
/ 자유주제
경부길이

12주5일차 입니다 경부길이가 몇센티 인건가요? ㅜㅜ 1D 2D 3D 중에 뭐를 봐야할까요.. 선생님이 좀 짧다고 3주 후에 오면 다시 보자고 하시고 그냥 무거운거 들지 말고 배에 힘주지 말라고만 하시는데 다른 글들 보니까 경부길이 짧으면 무조건 누워 있으라는데.. 의사선생님께서는 막 엄청 조심하세요 이렇지 않아서 어떻게 해야할지 모르겠어요 그래도 큰 병원에 계신 분이긴 한대.. 임신이 처음이라 걱정이네요..
댓글
1
2026년 1월 베동 베동 전체글
함께 많이 본 베동글

베이비빌리 앱 다운로드받고 다른 엄빠들이 작성한 다양한 고민&꿀팁글을 구경해보세요


