저도 미국이라 8주에 첫 초음파보고 동영상이랑 사진들 갠소하고 싶어서 사설 초음파 예약해놨어요ㅎ
2026년 2월 베동
/ 자유주제
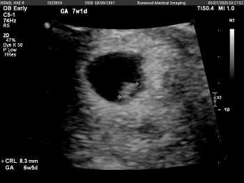
첫 초음파 보고왔어요

7주1일차에 갔는데 6주 5일로 바꼈네요 애기 심장도 잘뛰고 128bpm 너무 신기했어요 아무 문제없이 잘 크면좋겠네요🥹 해외살고있어 그다음 초음파는 12주차에 본다네요..허허 어케 기다리죠..
댓글
4
저는 캐나다인데 사설 초음파있어서 캔불 $75면 아무때나 심소 들을 수 있어요. 그래서 9주에 예약해뒀어여 ㅋㅋ 호주도 있을거 같은데 찾아보세용
그럼 서브병원 가서 8주차 정도에 초음파보러 왔다고 하면 돼요 저는 일주일단위로 아기 보러갔었어용 ㅋㅋ

해외살고 계시대요
2026년 2월 베동 베동 전체글
함께 많이 본 베동글

베이비빌리 앱 다운로드받고 다른 엄빠들이 작성한 다양한 고민&꿀팁글을 구경해보세요


