저도 그랬는데 90퍼의 확률로 왕자래요 ㅎㅎ.. 남아는 거의 안바뀌더라구요
전체 베동
/ 자유주제
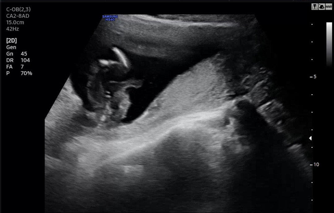
15주차 성별 반전 봐주세요ㅠㅠ

오늘 의사 선생님이 다리 사이에 뭐가 보인다고 아들이라고 생각하고 있으면 될것같은데 100프로는 아니다 라고 하셨는데 혹시 성별 반전 있을까요??
댓글
2
왕자님 한표요
함께 많이 본 베동글
🔥 실시간 전체 베동 인기글

베이비빌리 앱 다운로드받고 다른 엄빠들이 작성한 다양한 고민&꿀팁글을 구경해보세요

베이비빌리 앱에서
더 많은 베동글을 볼 수 있어요!

베이비빌리 앱에서 더 많은 베동글을 볼 수 있어요!
전체 베동
/ 자유주제
15주차 성별 반전 봐주세요ㅠㅠ

오늘 의사 선생님이 다리 사이에 뭐가 보인다고 아들이라고 생각하고 있으면 될것같은데 100프로는 아니다 라고 하셨는데 혹시 성별 반전 있을까요??
댓글
2
저도 그랬는데 90퍼의 확률로 왕자래요 ㅎㅎ.. 남아는 거의 안바뀌더라구요
왕자님 한표요
함께 많이 본 베동글
🔥 실시간 전체 베동 인기글

베이비빌리 앱 다운로드받고 다른 엄빠들이 작성한 다양한 고민&꿀팁글을 구경해보세요
주식회사 빌리지베이비
대표이사 이정윤
통신판매업신고번호
|
사업자등록번호 581-88-01277
|
서울특별시 영등포구 의사당대로 83, 오투타워 4층
|
|
Language
Copyright Baby Billy. All rights reserved.
주식회사 빌리지베이비
대표이사 이정윤
통신판매업신고번호
사업자등록번호 581-88-01277
서울특별시 영등포구 의사당대로 83, 오투타워 4층
|
|
Language
Copyright Baby Billy. All rights reserved.