입체 젤리곰 ❣️ 넘기엽네요~
2026년 3월 베동
/ 자유주제
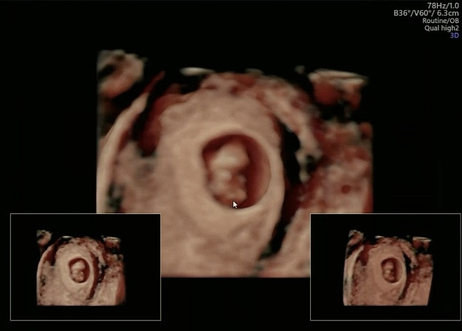
8주2일차 우리아기보고왔어요!

어제 배초음파도 처음 해보고 입체로 된 쩰리곰 우리 아기 보고 행복했어용! 입덧없고 가끔 체한것 같은 느낌만 약간있고 하루에 한두번 콕콕하면서 잘지내고 있다고 알려준 것 같은 우리 아가 2주가 너무 길었는데 1.82cm크기에 심박수 171bpm으로 건강하게 있더라구용! 귀여운 우리아기 이쁘게 봐주세용😻😻
댓글
2

감사해용! 입체라서 쪼끔 더 귀여워보이는 것 같아요😽
너모 귀여어요ㅠㅠㅠㅠㅠㅠㅠ🩷

감사해용😻😻
2026년 3월 베동 베동 전체글
함께 많이 본 베동글

베이비빌리 앱 다운로드받고 다른 엄빠들이 작성한 다양한 고민&꿀팁글을 구경해보세요


