2026년 3월 베동
/ 성별질문
각도법? 알려주세요!

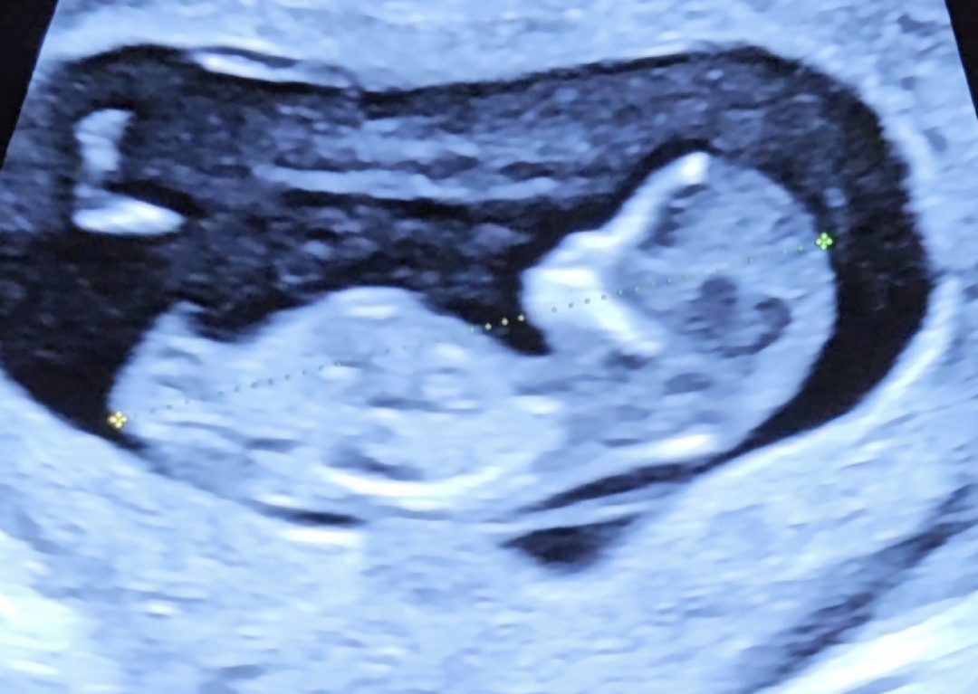
저는 11주차 2일인데 주수대비 애기가 커서 11주6일정도 된다고하던데.. 다른 11주차 사진대비 팔다리가 훅 큰 느낌이네요..😅 성별 궁금해서 찾다보니 각도법?이라는게 있는걸 첨 알았어요! 고수님들 혹시 뭘로 보이시나용? 알려주세요😁
BETA
우리 아기 성별이 궁금하다면?
초음파 사진을 올리면 AI가 무료로 예측해줘요
댓글
0
아직 남겨진 댓글이 없어요.
2026년 3월 베동 베동 전체글
함께 많이 본 베동글

베이비빌리 앱 다운로드받고 다른 엄빠들이 작성한 다양한 고민&꿀팁글을 구경해보세요


