올려주신 영상에는 아기집 하나밖에 안보이는데 초음파 하실때 보이셨나요??
2026년 8월 베동
/ 임신고민
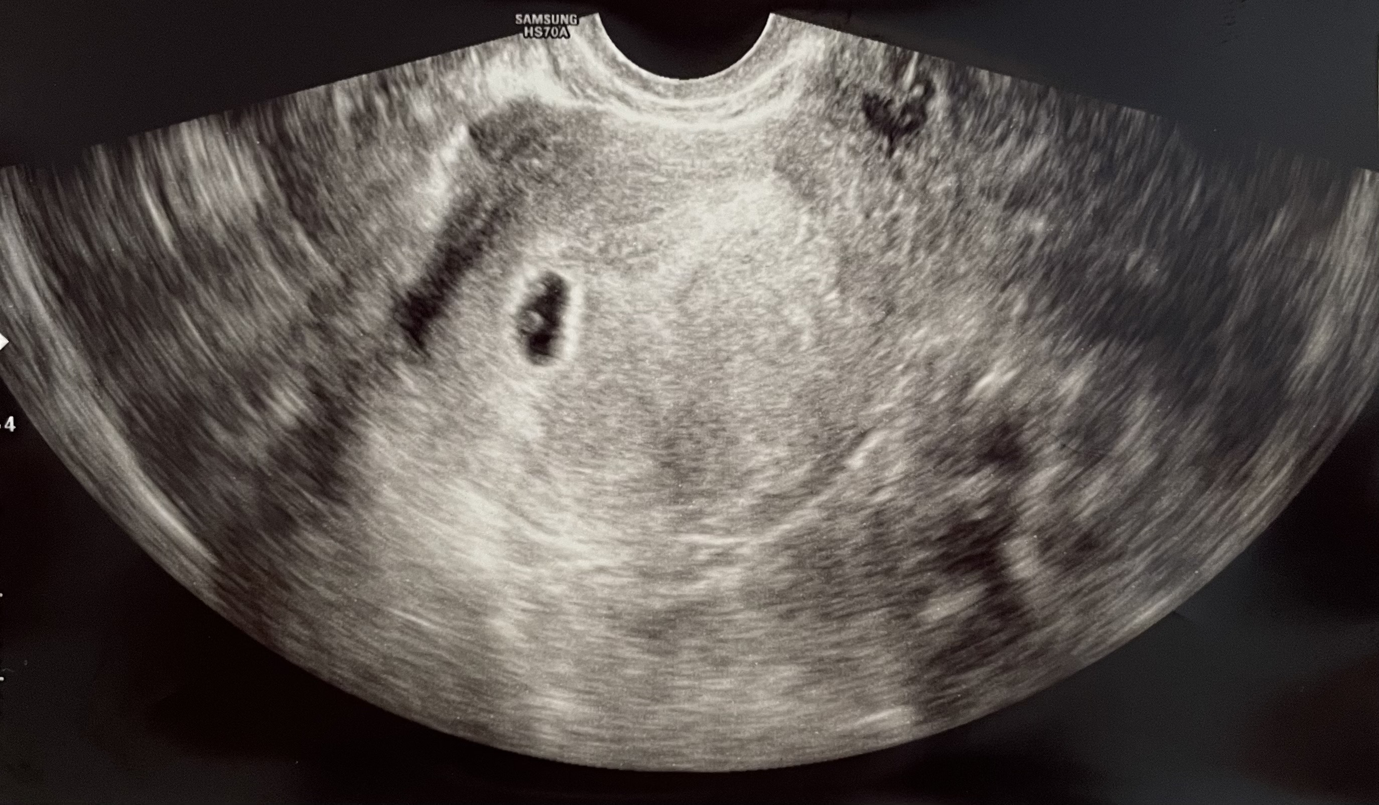
혹시 쌍둥이일까요?

병원에서 임신확인 받고 왔습니다! 5주 2일차 산모예요~~ 선생님께서 아기집도 주수에 맞고 난황 위치도 크기도 좋다고 하셨거든요 선생님과 같이 초음파 봤을땐 난황이 두 개인것 같았지만 따로 말씀은 안드리고 나왔는데 쌍둥이일 가능성은 거의 없다고 말씀해주시긴하셨어요ㅎㅎ 너무 작아 자연 도태될 확률이 높아서 말씀안해주신걸까요? 의사선생님 말씀이 제일 중요하고 전문지식 없이 인터넷 검색하는거 안좋은거 알지만 첨엔 단태아 진단받았다가 7-8주차에 다태아로 바뀐분들도 많다고들어서 초음파 사진 한번 올려봅니다.
댓글
1
삭제된 댓글이에요

일란성이면 아기집하나에 난황이 두개에요! 아기집두개는 이란성!
2026년 8월 베동 베동 전체글
함께 많이 본 베동글

베이비빌리 앱 다운로드받고 다른 엄빠들이 작성한 다양한 고민&꿀팁글을 구경해보세요


