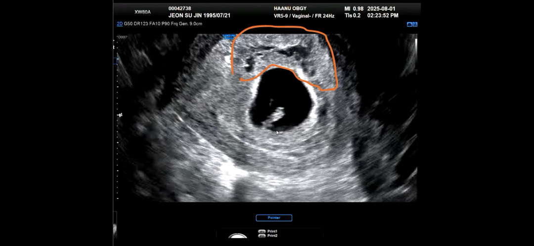
피고임은 더 부피감?이 있고 작은 아기집처럼 보이더라구요~ 의사선생님이 별 말씀 없으셨다면 신경안쓰셔도 될 것 같아요~
2026년 3월 베동
/ 자유주제
혹시 이게 피고임인가요..?

병원에선 별말 없었는데 저런건 뭔가요..?
댓글
2
피고임이아니라 난포아닌가여?
함께 많이 본 베동글
🔥 실시간 2026년 3월 베동 인기글

베이비빌리 앱 다운로드받고 다른 엄빠들이 작성한 다양한 고민&꿀팁글을 구경해보세요

베이비빌리 앱에서
더 많은 베동글을 볼 수 있어요!

베이비빌리 앱에서 더 많은 베동글을 볼 수 있어요!
2026년 3월 베동
/ 자유주제
혹시 이게 피고임인가요..?

병원에선 별말 없었는데 저런건 뭔가요..?
댓글
2
피고임은 더 부피감?이 있고 작은 아기집처럼 보이더라구요~ 의사선생님이 별 말씀 없으셨다면 신경안쓰셔도 될 것 같아요~
피고임이아니라 난포아닌가여?
함께 많이 본 베동글
🔥 실시간 2026년 3월 베동 인기글

베이비빌리 앱 다운로드받고 다른 엄빠들이 작성한 다양한 고민&꿀팁글을 구경해보세요
주식회사 빌리지베이비
대표이사 이정윤
통신판매업신고번호
|
사업자등록번호 581-88-01277
|
서울특별시 영등포구 의사당대로 83, 오투타워 4층
|
|
Language
Copyright Baby Billy. All rights reserved.
주식회사 빌리지베이비
대표이사 이정윤
통신판매업신고번호
사업자등록번호 581-88-01277
서울특별시 영등포구 의사당대로 83, 오투타워 4층
|
|
Language
Copyright Baby Billy. All rights reserved.