2026년 3월 베동
/ 자유주제
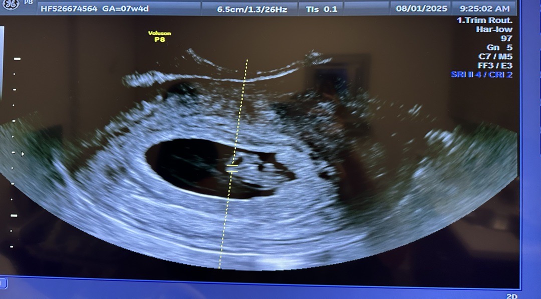
7주 4일 초음파 보고왔어요!

6주에초반에 갈색혈이 나와서 너무 걱정되는 마음에 바로병원가서 초음파 봤을땐 0.61cm에 그냥 길쭉한 모양에 심장소리도 너무 작아서 거의 못들었거든요! 그 후로 열심히 처방받은 질정 넣었더니 피비침은 다행히도 멈 췄어요. 기대반+ 걱정반 마음으로 오늘 초음파 보고왔 는데 이제 몬가 좀더 통통?해진 애기와 우렁찬 심소 들었더니 너무 마음이 놓여요!!ㅎㅎ휴ㅠㅠ 피고임도 쪼오금 작아진거같더라구요. 그 사이에 아기는 1.57센티 까지자라서 크기 주수로는 8주라고 하더라 구요 ㅎ그래서 자꾸 배가 아팠나봐요. 피비침 초반에 있으셨던 분들 넘 걱정마시구 애기를 믿고 기다 리면 그새 많이 커있을거에요!!
댓글
0
아직 남겨진 댓글이 없어요.
2026년 3월 베동 베동 전체글
함께 많이 본 베동글

베이비빌리 앱 다운로드받고 다른 엄빠들이 작성한 다양한 고민&꿀팁글을 구경해보세요


