8주차때인가 갑자기 소양증 증상이 나타나면서 손발이 엄청 부었었는데... 너무놀라서 결혼반지도 겨우 빼고 하루종일 저릿저릿 느낌에 무서웠는데 다음날부터 다시 멀쩡!...초기라면 일시적인 것일수도 있으니 넘 걱정말구! 혹시 혈압까지 높은거면 임신중독증일수도 있으니 검사받는거 추천ㅜㅜ근데 초기라 그럴가능성 적을고야..
익명
/ 자유주제
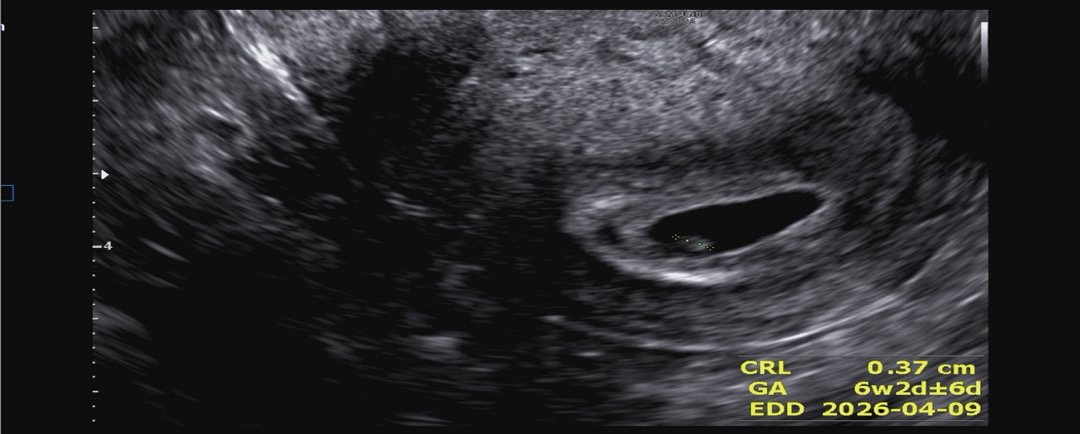
임신 6주차

6주2일이구 출산 예정일은 4월7일이야 오늘 낮에 출산병원 가서 산모수첩하고 난황이랑 애기로 추정되는거까지 보고왔당! 근데 심장소리는 못들어서 많이 아쉬웠어ㅠㅠ주수에 맞게 잘 크고 있는건지도 궁금하구.. 근데 여기 엄마들중에 임신 초기에 손 다리 붓기 심하거나 심했던 엄마들 있어?ㅠㅠ 아까 남편이랑 진료 갔다가 닭갈비먹구 좀비딸 보고 니왔는데 심할정도로 부어서 걱정이 이만저만이 아니당..
댓글
1

혈압은 122 /60으로 왼전 정상이야ㅠㅠㅠ
익명 베동 전체글
함께 많이 본 베동글

베이비빌리 앱 다운로드받고 다른 엄빠들이 작성한 다양한 고민&꿀팁글을 구경해보세요


